Servicios Odontológicos
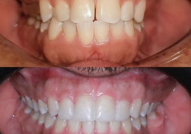
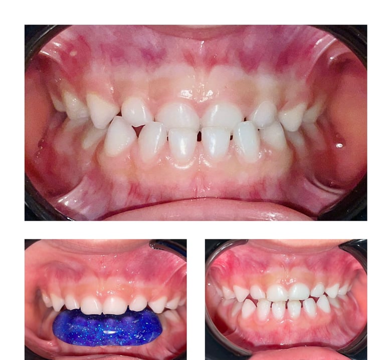
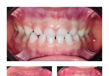
Odontología estética
La odontología estética es la rama de la odontología dedicada a mejorar la apariencia de la sonrisa mediante tratamientos personalizados y avanzados. Incluye procedimientos como blanqueamiento dental, carillas, corrección de forma y tamaño de los dientes, así como el diseño de sonrisa. Nuestro compromiso es brindarte resultados naturales y armoniosos, devolviéndote la confianza y la alegría de lucir una sonrisa perfecta. En nuestra clínica, combinamos tecnología de vanguardia con atención especializada para transformar tu sonrisa y resaltar tu belleza.
Limpiezas dentales
Las limpiezas dentales son un procedimiento fundamental para mantener una boca sana y prevenir enfermedades bucales. Durante la sesión, se eliminan la placa, el sarro y las manchas superficiales, dejando tus dientes más limpios, suaves y con una sonrisa más brillante. En nuestra clínica, realizamos limpiezas profesionales de manera segura y cómoda, ayudando a mejorar tu salud bucal y manteniendo tu sonrisa en las mejores condiciones.


Extracciones dentales
Las extracciones dentales son procedimientos realizados por profesionales para remover dientes dañados, infectados o que representan un riesgo para la salud bucal. En nuestra clínica, garantizamos una atención segura, indolora y eficiente, utilizando técnicas modernas y anestesia adecuada para brindar comodidad y tranquilidad a nuestros pacientes. Después de la extracción, ofrecemos recomendaciones y cuidados para una correcta recuperación, protegiendo tu salud bucal y promoviendo una sonrisa sana y libre de molestias.
Endodoncia
La endodoncia es un procedimiento dental que consiste en eliminar la pulpa infectada o inflamada del interior del diente para salvarlo y evitar su extracción. Es una solución efectiva para aliviar el dolor, eliminar infecciones y restaurar la funcionalidad de la pieza dental. En nuestra clínica, realizamos tratamientos de endodoncia con tecnología de vanguardia y máxima comodidad, asegurando una recuperación rápida y resultados duraderos. Confía en nosotros para cuidar tu salud bucal y devolverle la vida a tu sonrisa.
Odontopediatría
La odontopediatría es la especialidad dental dedicada a el cuidado, tratamiento y prevención de las lesiones bucales en niños y adolescentes. Nuestro enfoque es brindar un ambiente amigable y acogedor, adaptado a las necesidades de los pequeños pacientes, para asegurar una experiencia cómoda y libre de miedo. Ofrecemos controles preventivos, limpieza, tratamiento de caries, sellantes y orientación en hábitos de higiene bucal. En nuestra clínica, promovemos una sonrisa saludable desde temprana edad, formando buenos hábitos que perdurarán toda la vida.
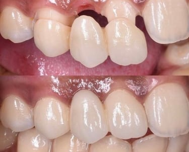
Prótesis dentales
Las prótesis dentales son soluciones diseñadas para reemplazar dientes ausentes y restaurar la función masticatoria, la estética y la salud bucal. Ya sea que necesites una prótesis fija, removible o implantosoportada, nuestro equipo ofrece opciones personalizadas y de alta calidad para devolverte la seguridad y la sonrisa natural. En nuestra clínica, garantizamos comodidad, precisión y resultados duraderos para que puedas volver a comer, hablar y sonreír con confianza.


