Ortodoncia
La ortopedia maxilar infantil es una especialidad que se enfoca en corregir y mejorar el crecimiento y desarrollo de los maxilares y la mandíbula en niños. A través de tratamientos personalizados, buscamos lograr una adecuada alineación, compatibilidad oclusal y función masticatoria, previniendo futuros problemas dentales y ortodóncicos. En nuestra clínica, contamos con profesionales especializados en ortopedia infantil, utilizando técnicas seguras y efectivas para promover un desarrollo bucal saludable y una sonrisa equilibrada desde temprana edad.


Ortopedia y ortodoncia infantil
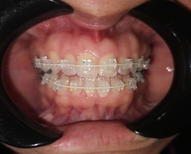
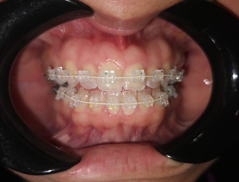
Ortodoncia Fija
La ortodoncia fija es un tratamiento especializado para corregir problemas de alineación, maloclusión y dientes torcidos utilizando brackets y arcos metálicos o cerámicos. Este método efectivo y discreto realiza movimientos precisos para mejorar la apariencia y funcionalidad de tu sonrisa. En nuestra clínica, ofrecemos opciones de ortodoncia fija adaptadas a tus necesidades, garantizando comodidad, resultados duraderos y una atención profesional para que puedas lucir una sonrisa saludable y estética


Contamos con:
Brackets Metálicos




