Blanqueamiento dental
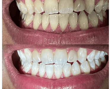
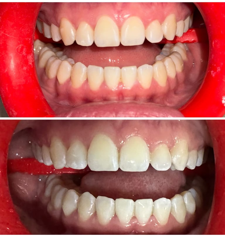
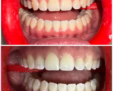
El blanqueamiento dental es un procedimiento estético que permite aclarar y revitalizar la sonrisa, eliminando manchas y decoloraciones causadas por alimentos, bebidas, tabaquismo o envejecimiento. En nuestra clínica, ofrecemos tratamientos seguros y efectivos con tecnología avanzada para obtener resultados rápidos y duraderos. Transforma tu sonrisa y aumente tu confianza con un blanqueamiento dental profesional.




La atención en Smiles Experience es excepcional. Mi sonrisa ha mejorado mucho gracias a su tratamiento de ortodoncia. ¡Recomiendo esta clínica a todos!
Juan Pérez
★★★★★
Galería Dental
Descubre nuestros tratamientos de ortodoncia en Ciudad de Panamá.


