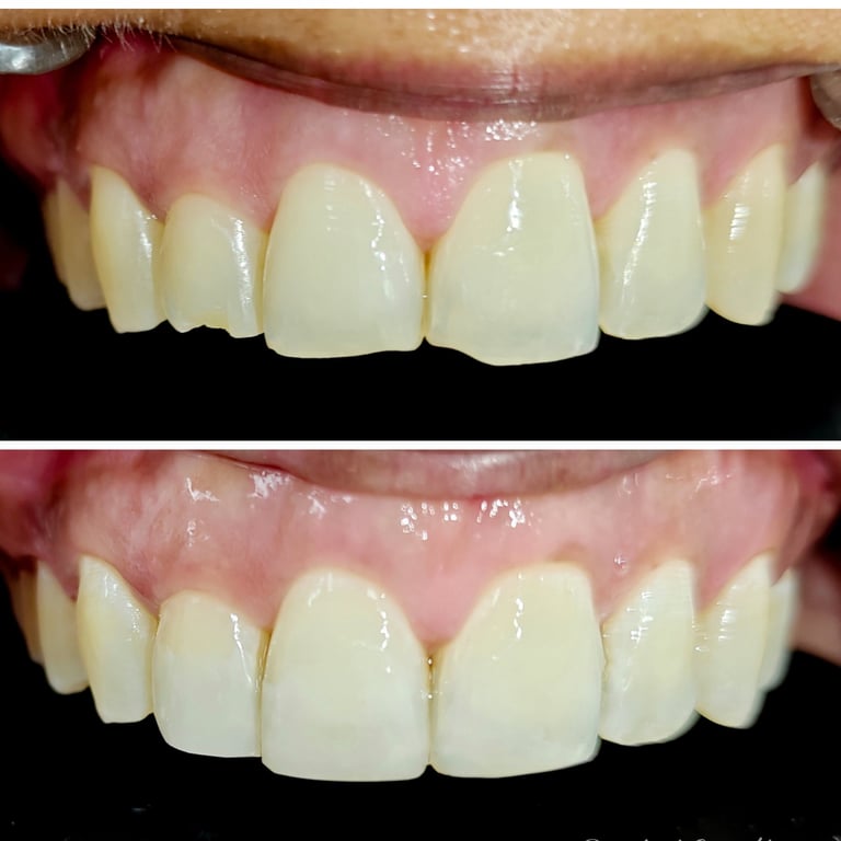
Calzas y Restauraciones
Las calzas o restauraciones dentales son procedimientos que reparan y restauran dientes dañados, cariados o fracturados, devolviéndoles su forma, función y apariencia natural. Utilizamos materiales de alta calidad, como porcelana o composite, para crear restauraciones duraderas, estéticas y compatibles con tu sonrisa. En nuestra clínica, nos comprometemos a ofrecer tratamientos precisos y seguros para que puedas disfrutar de dientes sanos, fuertes y con un aspecto natural.

